Children with CLN2 disease

Клиническая оценка

Применение ЭЭГ с низкочастотной прерывистой фотостимуляцией и других функциональных тестов для диагностики НЦЛ21,2

По данным исследований, у большинства детей с НЦЛ2 возникает реакция в ответ на низкочастотную прерывистую фотостимуляцию (ПФС)3.

ЭЭГ с ПФС

ЭЭГ с низкочастотной ПФС может использоваться для выявления фотосенситивности у детей с НЦЛ2

  • У пациентов с НЦЛ2 часто встречается фотопароксизмальный ответ (ФПО), признаки которого отличаются от ФПО, наблюдаемых при других видах эпилепсии3.
  • Низкочастотная (1‒2 Гц) ПФС во многих случаях индуцирует появление высокоамплитудных затылочных спайков, сопряженных по времени со световыми вспышками3,4.
  • При получении положительных результатов ФПО в целях исключения диагноза НЦЛ необходимо провести энзимодиагностику и молекулярно-генетическое тестирование4.
  • Не у всех детей с НЦЛ2 во время обследования наблюдается подобный ответ3,4. При подозрении на НЦЛ2 подтвердить или исключить диагноз позволит проведение энзимодиагностики и молекулярно-генетических тестов4.
Electroencephalogram (EEG) assessment
ЭЭГ используется с разрешения Никола Спеккио, MD, PhD.
У многих детей с НЦЛ2 в результате применения ЭЭГ с низкочастотной (1‒2 Гц) ПФС возникает фотопароксизмальный ответ или патогномоничная реакция3.

Другие методы клинической оценки, позволяющие получить результаты, свидетельствующие о диагнозе НЦЛ2

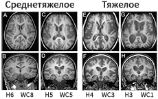
МРТ головного мозга

В начале заболевания показатели МРТ головного мозга могут быть в пределах нормы или имеют незначительные отклонения. К отклонениям, которые позволяют заподозрить НЦЛ2, относятся1,2:

  • атрофия головного мозга ‒ распространенная патология у больных НЦЛ;
  • гиперинтенсивность сигнала белого вещества в перивентрикулярных зонах головного мозга.

На более поздних этапах заболевания атрофия головного мозга становится очевидной и продолжает прогрессировать1,2.

МРТ головного мозга

Worgall S et al. Neurology. 07.08.2007, 69 (6): 521-35.

Офтальмологическая оценка

Слепота возникает на поздних стадиях НЦЛ2; нарушения зрения можно выявить с помощью определенных методов офтальмологической оценки5.

Оптическая когерентная томография (ОКТ)

Примечание. Изображение пациента в возрасте 8 лет, поздняя стадия НЦЛ26.

Оптическая когерентная томография (ОКТ)

С помощью ОКТ можно определить прогрессирование НЦЛ2, признаками которого являются дегенерация сетчатки и накопление гиперрефлективного материала6,7.

Флуоресцеиновая ангиография (ФАГ)

Флуоресцеиновая ангиография (ФАГ)

ФАГ применяют для проверки циркуляции крови через сосуды6.

Зрительные вызванные потенциалы (ЗВП)

Зрительно вызванные потенциалы (ЗВП)

Аномальное усиление показателей ЗВП происходит вплоть до поздней стадии, снижение начинается на финальном этапе заболевания1.

Электроретинография (ЭРГ)

Электроретинограмма (ЭРГ)

Возможно снижение показателей ЭРГ до того, как появятся клинические признаки ухудшения зрения1,2.

Дополнительные исследования для выявления НЦЛ2

Электронная микроскопия (ЭМ)

Во всем мире использование электронной микроскопии в клинической практике сократилось, однако в случае подозрения на болезнь этот метод помогает обнаружить четкую криволинейную структуру цероидного липофусцина, часто на фоне неубедительных результатов других исследований5.

Существует ряд исследований для выявления НЦЛ2, при этом лишь энзимодиагностика и молекулярно-генетическое тестирование позволяют установить окончательный диагноз.

Источники: 1. Chang M et al. CLN2. Вкн.: Mole S, Williams R, Goebel H, ред. The neuronal ceroid lipofuscinoses (Batten Disease) [Нейрональный цероидный липофусциноз (болезнь Баттена)]. 2nd ed. Oxford, United Kingdom: Oxford University Press; 2011:80-109. 2. Mole SE et al. Correlations between genotype, ultrastructural morphology and clinical phenotype in the neuronal ceroid lipofuscinoses [Корреляции между генотипом, ультраструктурной морфологией и клиническим фенотипом при нейрональном цероидном липофусцинозе]. Neurogenetics. 2005;6:107-126. 3. Albert DV et al. Unique Characteristics of the photoparoxysmal response in patients with neuronal ceroid lipofuscinosis type 2: can EEG be a biomarker? [Уникальные характеристики фотопароксизмального ответа у пациентов с нейрональным цероидным липофусцинозом 2 типа: может ли ЭЭГ быть биомаркером?]. J Child Neurol. 2016;31:1475-1482. 4. Fietz M et al. Diagnosis of neuronal ceroid lipofuscinosis type 2 (CLN2 disease): Expert recommendations for early detection and laboratory diagnosis [Диагностика нейронального цероидного липофусциноза 2 типа (НЦЛ2): рекомендации специалистов по раннему выявлению и лабораторной диагностике]. Mol Genet Metab. 2016; 119:160-167 5. Mole SE, Williams RE. Neuronal ceroid-lipofuscinoses [Нейрональный цероидный липофусциноз]. 10.10.2001 [обновл. 01.08.2013]. In Pagon RA, Adam MP, Ardinger HH, et al., eds. GeneReviews® [internet]. Сиэтл, Вашингтон: Вашингтонский университет; 1993-2016. 6. Orlin A et al. Spectrum of ocular manifestations in CLN2-associated Batten (Jansky-Bielschowsky) Disease correlate with advancing age and deteriorating neurological function [Спектр офтальмологических проявлений при ассоциированной с НЦЛ2 болезни Баттена (Янского‒Бильшовского): корреляция с возрастом и снижением неврологической функции]. PLoS One. 2013;8:e73128. 7. Williams RE et al. Expert opinion on the management of CLN2 disease [Экспертное заключение о лечении НЦЛ2]. Стендовая сессия, представленная на 12-м ежегодном симпозиуме WORLD, февраль–март 2016 г. Сан-Диего, Калифорния, США.