Children with CLN2 disease

Evaluaciones clínicas

Para detectar la CLN2 puede utilizarse estimulación luminosa intermitente de baja frecuencia y otras pruebas clínicas1,2

La mayoría de los niños con CLN2 han presentado una respuesta a la estimulación luminosa intermitente de baja frecuencia (IPS).3

EEG con IPS

El EEG con IPS de baja frecuencia puede utilizarse para detectar fotosensibilidad en niños con CLN2

  • En pacientes con CLN2 es frecuente detectar una respuesta fotoparoxística (RFP) y sus características son distinguibles de las observadas en las RFP de otras epilepsias3
  • La IPS de baja frecuencia (1-2 Hz) induce la aparición de picos occipitales de gran amplitud diferidos en muchas ocasiones3,4
  • Un resultado positivo en RFP debe acompañarse de una prueba enzimática o molecular para descartar CLN4
  • No todos los niños con CLN2 presentarán esta respuesta. Las pruebas enzimáticas y/o moleculares diagnósticas descartarán o confirmarán la sospecha de CLN23,4
Electroencephalogram (EEG) assessment
EEG utilizado con permiso del Dr. Nicola Speccio, MD PhD.
Muchos niños con CLN2 presentan respuesta fotoparoxística o al EEG con IPS de baja frecuencia (1-2 Hz).3

Otras evaluaciones clínicas pueden proporcionar hallazgos indicativos de CLN2, incluyendo:

RM cerebral

En fases tempranas de la enfermedad, la RM cerebral puede parecer normal o presentar anomalías sutiles. Las anomalías que deben aumentar la sospecha de CLN2 son:1,2

  • Atrofia cerebelosa, un hallazgo frecuente en las CLN
  • Hiperintensidad en la sustancia blanca periventricular

En fases tardías de la enfermedad, la atrofia cerebral es más manifiesta y progresará.1,2

Brain MRI

Worgall S. et al. Neurology. 2007 Aug 7;69(6):521-35.

Evaluaciones oftalmológicas

Aunque la ceguera aparece en fases más tardías de progresión de la CLN2, se pueden identificar anomalías visuales con ciertas evaluaciones oftalmológicas.5

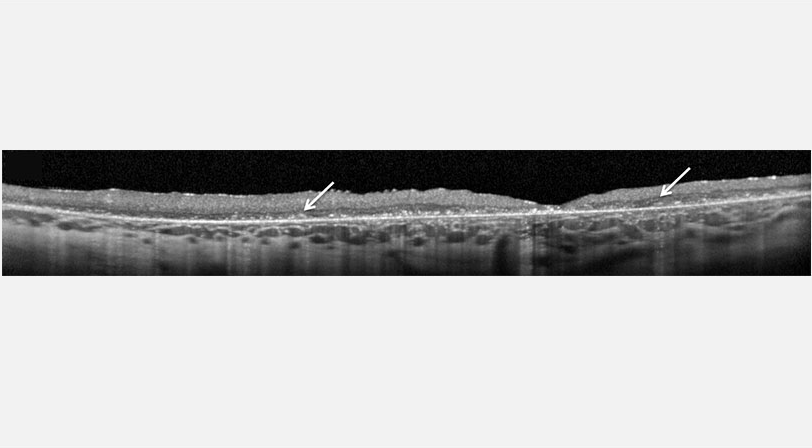
Nota: esta imagen pertenece a un paciente de 8 años y refleja los avances en la fase avanzada de la CLN2.6

Tomografía de coherencia óptica (TCO)

La TCO puede mostrar la progresión de la CLN2 por medio de la degeneración de la retina y la acumulación de material hiperreflexivo.6,7

Angiografía con fluoresceína (AF)

La AF puede utilizarse para evaluar los derrames vasculares.6

Potencial visual evocado (PEV)

Los PEV están anormalmente realzados hasta fases tardías de la enfermedad y disminuyen en la fase final de la enfermedad.1

Electrorretinografía (ERG)

Puede observarse una disminución en la ERG antes de que pueda detectarse el deterioro visual clínicamente.1,2

Pruebas clínicas adicionales utilizadas para identificar la CLN2

Microscopia electrónica (ME)

A pesar de que el uso de la microscopia electrónica en la práctica clínica ha disminuido en todo el mundo, se utiliza para detectar distintas inclusiones curvilíneas de lipofuscina ceroidea en casos de sospecha, cuando a menudo otras pruebas no son concluyentes.5

Hay diversas pruebas clínicas que pueden ayudar a identificar la CLN2, pero únicamente las pruebas enzimáticas y/o moleculares pueden dar un diagnóstico definitivo de CLN2.

Bibliografía: 1. Chang M, Cooper JD, Davidson BL, et al. CLN2. In: Mole S, Williams R, and Goebel H, eds. The neuronal ceroid lipofuscinoses (Batten Disease). 2nd ed. Oxford, United Kingdom: Oxford University Press; 2011:80-109. 2. Mole SE, Williams RE, and Goebel HH. Correlations between genotype, ultrastructural morphology and clinical phenotype in the neuronal ceroid lipofuscinoses. Neurogenetics. 2005;6:107-126. 3. Albert DV, Yin H, De Los Reyes EC, Vidaurre J. Unique Characteristics of the photoparoxysmal response in patients with neuronal ceroid lipofuscinosis type 2: can EEG be a biomarker? [Epub ahead of print July 21, 2016]. J Child Neurol. DOI: 10.1177/0883073816658659. 4. Fietz M, AlSayed M, Burke D, et al. Diagnosis of neuronal ceroid lipofuscinosis type 2 (CLN2 disease): Expert recommendations for early detection and laboratory diagnosis. [Epub ahead of print July 25, 2016]. Mol Genet Metab. doi: 10.1016/j.ymgme.2016.07.011. 5. Mole SE, Williams RE. Neuronal ceroid-lipofuscinoses. 2001 Oct 10 [Updated 2013 Aug 1]. In: Pagon RA, Adam MP, Ardinger HH, et al., editors. GeneReviews® [internet]. Seattle, WA: University of Washington; 1993-2016. 6. Orlin A, Sondhi D, Witmer MT, et al. Spectrum of ocular manifestations in CLN2-associated Batten (Jansky-Bielschowsky) Disease correlate with advancing age and deteriorating neurological function. PLoS One. 2013;8:e73128. doi:10.1371/journal.pone.0073128. 7. Williams RE et al. Management Strategies for CLN2 Disease. Pediatr Neurol 2017;69:102–112.